Magna Concursos

Foram encontradas 480 questões.

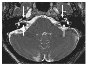
2936560 Ano: 2023
Disciplina: Radiologia
Banca: Consulplan
Orgão: SES-PA
Provas:

Observe a imagem a seguir:



Enunciado 3265616-1



É possível afirmar que trata-se do seguinte exame:

 

Provas

Questão presente nas seguintes provas
2936559 Ano: 2023
Disciplina: Radiologia
Banca: Consulplan
Orgão: SES-PA
Provas:
A tomografia computadorizada é um exame de imagem não invasivo que utiliza a junção do equipamento de raio-X com computadores programados, capazes de produzir imagens de altíssima qualidade dos órgãos internos. Por combinar a imagem de múltiplos raio-X, tal exame oferece um estudo muito mais detalhado do que uma radiografia comum. O exame de TC do músculo esquelético é indicado nos seguintes casos, EXCETO:
 

Provas

Questão presente nas seguintes provas
2936558 Ano: 2023
Disciplina: Radiologia
Banca: Consulplan
Orgão: SES-PA
Provas:
Sobre os aspectos metodológicos básicos em neuroimagem estrutural e funcional em Tomografia Computadorizada (TC), marque V para as afirmativas verdadeiras e F para as falsas.
(  ) Baseia-se em raios-X; foi utilizada para aplicações clínicas no início da década de 70, tornando possível examinar o encéfalo e, com maior clareza, os limites do sistema ventricular e as partes ósseas do crânio.
(  ) Baseia-se em uma série de detectores que transformam a radiação em um sinal elétrico convertido em imagem digital.
(  ) Apesar da evolução tecnológica, não é possível adquirir imagens através da técnica de varredura espiral (ou helicoidal).
(  ) A capacidade de diferenciar substâncias brancas e cinzentas, notadamente na região do cerebelo e núcleos da base, é limitada apesar dos avanços.
A sequência está correta em
 

Provas

Questão presente nas seguintes provas
2936557 Ano: 2023
Disciplina: Radiologia
Banca: Consulplan
Orgão: SES-PA
Provas:
Considerando os cuidados com o Campo Magnético Estático (B 0 ), assinale a afirmativa INCORRETA.
 

Provas

Questão presente nas seguintes provas
2936556 Ano: 2023
Disciplina: Radiologia
Banca: Consulplan
Orgão: SES-PA
Provas:
A compressão espalha tecidos e estruturas da mama, o que reduz as sobreposições, facilitando a “separação” de lesões suspeitas e permitindo um melhor diagnóstico. Uma das principais desvantagens da compressão na mamografia é a dor e o desconforto. Dessa forma, a compressão é necessária para:

I.
Imobilizar a mama, reduzindo o movimento da paciente.
II.
Reduzir a espessura da mama, contribuindo para a redução da dose.
III.
Aproximar a mama do filme, contribuindo para aumentar o contraste e a nitidez, assim como reduzir a radiação espalhada.
É correto o que se afirma em
 

Provas

Questão presente nas seguintes provas
2936555 Ano: 2023
Disciplina: Radiologia
Banca: Consulplan
Orgão: SES-PA
Provas:
A fim de reduzir os números de acidentes em campos eletromagnéticos, são adotadas restrições para o acesso a todos os ambientes de ressonância magnética, considerando o conceito de quatro zonas, que prevê restrições progressivas. Sobre as zonas de acesso à área de ressonância magnética, relacione adequadamente as colunas a seguir.

1. Zona
I. 2. Zona
II. 3. Zona
III. 4. Zona
IV.

(  )
Região do público em geral.
(  )
Região da porta de acesso ao equipamento de MRI.
(  )
Região de perigo; sala de espera próximo ao ambiente de MRI.
(  )
Região de acesso ou contato entre funcionários, pacientes e familiares.
A sequência está correta em
 

Provas

Questão presente nas seguintes provas
2936554 Ano: 2023
Disciplina: Radiologia
Banca: Consulplan
Orgão: SES-PA
Provas:
Na mamografia digital, para se obter uma boa relação sinal/ruído, o nível de dose deve ser estabelecido para que ela seja adequada para a imagem como, por exemplo, microcalcificações em fundo glandular que devem ser passíveis de detecção. De modo análogo, o monitor de vídeo pode ser ajustado separadamente para se obter o brilho e o contraste desejados para a imagem. São considerados fatores que afetam a dose em mamografia digital, EXCETO:
 

Provas

Questão presente nas seguintes provas
2936553 Ano: 2023
Disciplina: Radiologia
Banca: Consulplan
Orgão: SES-PA
Provas:
A principal função do colimador em um equipamento de radiologia é:
 

Provas

Questão presente nas seguintes provas
2936552 Ano: 2023
Disciplina: Radiologia
Banca: Consulplan
Orgão: SES-PA
Provas:
Sobre a física das radiações e o método de formação de imagem da radiografia convencional, assinale a afirmativa correta.
 

Provas

Questão presente nas seguintes provas
2936551 Ano: 2023
Disciplina: Radiologia
Banca: Consulplan
Orgão: SES-PA
Provas:
NÃO se refere a um processo necessário para obtenção da imagem do filme radiográfico:
 

Provas

Questão presente nas seguintes provas