Foram encontradas 60 questões.
( ) A TC não é um bom método intervencionista porque proporciona uma baixa acurácia visual para o posicionamento da agulha.
( ) A exposição radioativa é desprezível em ambos os métodos.
( ) O mAs deve ser reduzido ao máximo possível durante a aquisição de uma TC sequencial.
( ) As doses de radiação podem ser reduzidas se a fluoroscopia for realizada de maneira intermitente.
( ) É aceitável que se posicione a ampola da TC sequencial com as mãos.
As afirmativas são, respectivamente:
Provas
Associe os itens a seguir a suas cores respectivas:
1. Meio de contraste. 2. Água. 3. Ar. 4. Gordura. 5. Osso.
( ) Branco brilhante. ( ) Cinza escuro. ( ) Branco. ( ) Cinza médio. ( ) Preto.
Assinale a opção que indica a relação correta na ordem apresentada.
Provas
Provas
Baseado na imagem abaixo, assinale a afirmativa correta.
Provas
- Anatomia e Fisiologia HumanaSistema Respiratório
- Protocolos de Exames de Medicina NuclearProcessamento de Imagens Radiológicas
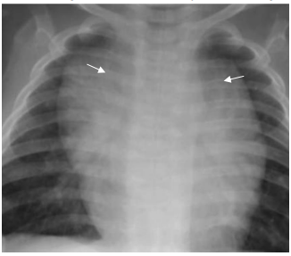
Observe a radiografia de tórax de uma criança de 4 meses a seguir:

Em relação à imagem, é correto afirmar que
Provas
Observe a imagem a seguir.

A seta indica
Provas
Provas
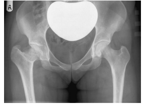
Observe a figura abaixo.

As setas indicam
Provas
Observe a imagem a seguir.

Assinale a opção que identifica corretamente o número indicado na imagem
Provas
Associe os itens a seguir a seus usos e características.
1. Princípio ALARA.
2. Dosímetro pessoal.
3. Avental de chumbo.
4. Sala de exame pediátrico.
( ) Deve cobrir toda a extensão dos ombros e da região frontal de uma pessoa adulta, até próximo ao joelho.
( ) Deve ser usado para avaliar a exposição à radiação pelos profissionais que trabalham com radiação.
( ) Deve possuir pelo menos 2 aventais de chumbo, 2 protetores de tireoide e 1 par de luvas.
( ) Tão baixo quanto razoavelmente possível. Assinale a opção que indica a relação correta, na ordem apresentada.
Provas
Caderno Container