Foram encontradas 740 questões.
A UBS é composta por
Provas
O filme radiográfico será posicionado no sentido vertical para a região dos
Provas
É o hormônio que tem sido associado ao aumento da permeabilidade da microcirculação, alterando os índices e padrões de produção do colágeno gengival, aumentando o metabolismo do folato e alterando a resposta imune. O trecho refere-se ao(à)
Provas
Assinale a alternativa que descreve corretamente o procedimento sepultamento radicular.
Provas
Das deformidades mucogengivais e condições do rebordo edêntulo que predispõe a doença periodontal, são condições ligadas ao excesso de gengiva, EXCETO,
Provas
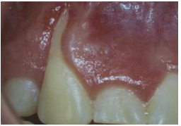
Analise a imagem abaixo, que apresenta um achado, para responder à questão 37.

(Carranza 2016).
Com base na imagem acima, verifica-se
Provas
A periodontite agressiva difere da forma crônica, principalmente, pela
I. rápida velocidade de progressão da doença observada em um indivíduo saudável.
II. presença de grandes acúmulos de placa e cálculo.
III. presença de uma história familiar de doença agressiva que sugere um traço genético.
É correto o que se afirma em
Provas
A notação dentária 22 é referente ao elemento incisivo lateral
Provas
O objetivo do tratamento periodontal para a paciente grávida é minimizar a potencial resposta inflamatória exagerada relacionada às alterações hormonais associadas à gravidez. Um meticuloso controle do biofilme, raspagem, alisamento radicular e polimento devem ser os únicos procedimentos periodontais não cirúrgicos realizados. Sobre o tratamento periodontal na gravidez, é correto afirmar que
Provas
É correto afirmar que o fibroma ossificante periférico pode desenvolver-se
Provas
Caderno Container