Magna Concursos

Foram encontradas 356 questões.

2864667 Ano: 2022
Disciplina: Técnicas em Topografia
Banca: FAU-UNICENTRO
Orgão: Pref. Ponta Grossa-PR
Provas:
A fotogrametria é a arte e a ciência de realizar medições precisas por meio de fotografia aérea. A fotogrametria pode ser analógica ou digital, cada abordagem tem um papel apropriado, dependendo da natureza dos dados de sensoriamento remoto e dos objetivos da análise da imagem. De acordo com as afirmativas é correto afirmar que:
I - As imagens aéreas (fotográficas ou digitais) do terreno apresentam deformações geométricas que são devidas essencialmente ao fato de a imagem ser uma perspectiva central; a altitude da plataforma que transporta a câmara e ao relevo. II - Designa-se por ortorretificação o processo que conduz à transformação da imagem (fotográfica ou digital) numa imagem digital, designada por ortoimagem, semelhante à que resultaria de uma perspectiva paralela do terreno, segundo uma direção vertical; III - A ortoimagem apresenta uma escala constante e possibilita o uso métrico da informação de modo semelhante a uma planta topográfica baseada numa projeção cartográfica. IV - A Estereoscopia é o deslocamento aparente de um objeto em relação a um referencial, devido a uma mudança na posição do observador. V - As diferenças na paralaxe de vários objetos de interesse podem ser usadas para medir a altura de objetos e extrair informações topográficas, como curva de nível a partir de fotografias aéreas por meio de instrumentos estereoscópicos.
 

Provas

Questão presente nas seguintes provas
2864666 Ano: 2022
Disciplina: Segurança Pública
Banca: FAU-UNICENTRO
Orgão: Pref. Ponta Grossa-PR
Provas:
À luz do Estatuto Geral das Guardas Municipais (Lei n. 13.022/2014), é CORRETO afirmar:
 

Provas

Questão presente nas seguintes provas
2864665 Ano: 2022
Disciplina: Segurança Pública
Banca: FAU-UNICENTRO
Orgão: Pref. Ponta Grossa-PR
Provas:
O Código Q é um padrão de comunicação adotado internacionalmente, pelas forças militares, polícias, unidades de pronto atendimento de saúde e empresas de segurança privadas. Assinale entre as alternativas abaixo a que apresenta a codificação INCORRETA:
 

Provas

Questão presente nas seguintes provas
2864664 Ano: 2022
Disciplina: Radiologia
Banca: FAU-UNICENTRO
Orgão: Pref. Ponta Grossa-PR
Provas:
Podemos relacionar a afirmativa a seguir: “Dispor sobre as condições para a promoção, proteção e recuperação da saúde, a organização e o funcionamento dos serviços correspondentes”, com qual lei ou norma?
 

Provas

Questão presente nas seguintes provas
2864663 Ano: 2022
Disciplina: Radiologia
Banca: FAU-UNICENTRO
Orgão: Pref. Ponta Grossa-PR
Provas:
De acordo com o código de ética profissional, qual o alvo de atenção do tecnólogo e técnico de radiologia?
 

Provas

Questão presente nas seguintes provas
2864662 Ano: 2022
Disciplina: Radiologia
Banca: FAU-UNICENTRO
Orgão: Pref. Ponta Grossa-PR
Provas:
O estudo contrastado das articulações sinoviais, denomina-se:
 

Provas

Questão presente nas seguintes provas
2864661 Ano: 2022
Disciplina: Radiologia
Banca: FAU-UNICENTRO
Orgão: Pref. Ponta Grossa-PR
Provas:
Qual a carga elétrica do elétron?
 

Provas

Questão presente nas seguintes provas
2864660 Ano: 2022
Disciplina: Radiologia
Banca: FAU-UNICENTRO
Orgão: Pref. Ponta Grossa-PR
Provas:
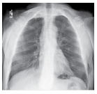
Conforme a imagem abaixo, qual nome desta incidência?

Enunciado 3547870-1
 

Provas

Questão presente nas seguintes provas
2864659 Ano: 2022
Disciplina: Radiologia
Banca: FAU-UNICENTRO
Orgão: Pref. Ponta Grossa-PR
Provas:
Quanto a anatomia dos pulmões podemos afirmar:
I - Há 2 pulmões. II - Pulmão esquerdo é maior que o direito. III - Pulmão direito é maior que o esquerdo. IV - Mediastino está abaixo do diafragma.
 

Provas

Questão presente nas seguintes provas
2864658 Ano: 2022
Disciplina: Radiologia
Banca: FAU-UNICENTRO
Orgão: Pref. Ponta Grossa-PR
Provas:
Para o processamento radiográfico se faz necessário que os íons sensibilizem os:
 

Provas

Questão presente nas seguintes provas