Foram encontradas 660 questões.
“Os percentuais de investimento financeiro que os Municípios, Estados e a União devem aplicar anualmente no SUS são, no mínimo, 15% da arrecadação dos impostos em ações e serviços públicos de saúde cabendo aos Estados 12%. Já na União, o montante aplicado deve corresponder ao valor empenhado no exercício financeiro anterior, acrescido do percentual relativo à variação do Produto Interno Bruto (PIB) do ano antecedente ao da lei orçamentária anual.”
Que lei define esse tipo de percentual que trata dos investimentos das esferas do SUS?
Provas
Leia o texto a seguir.
“É um material bastante eficaz para a confecção de coroas provisórias por apresentar boa estabilidade de cor, praticidade técnica, precisão de proporção, pouco ou nenhum odor, baixa reação exotérmica, boa adaptação marginal, resistência e estética favorável. São fabricados a partir de monômeros dimetacrilatos, altamente reticulados que tendem a ser mais frágeis que os PMMA, além de possuírem cargas que fornecem qualidades semelhantes às resinas compostas, mas que podem variar de tamanho ou geometria, alterando as propriedades de sua matriz polimérica.”
A que tipo de resina de material se refere esse texto?
Provas
O ligamento periodontal é um tecido conjuntivo frouxo interposto entre os dois constituintes mineralizados do periodonto de sustentação (cemento e osso alveolar), estabelecendo, desta maneira, a articulação entre o dente e seu respectivo alvéolo. Sobre esse tema, assinale a alternativa CORRETA.
Provas
O sistema dental, no ser humano, pode ser classificado como plexodonte, heterodonte e difiodonte. Sobre essas classificações, analise as afirmativas a seguir.
I. Plexodonte é assim chamado devido à complexidade da morfologia da dentição humana.
II. Heterodonte é devido à classificação dos dentes em grupos dentais com funções específicas determinadas pela forma como, grupo dos incisivos, caninos, pré-molares e molares.
III. Difiodonte por apresentar durante a sua existência duas dentições denominadas decídua e permanente.
Assinale a opção que indica a(s) afirmativa(s) CORRETA(S).
Provas
Muitos pacientes acreditam que a perda dentária ocorre somente devido a presença de cárie e desconhecem a doença periodontal que pode ter início a partir da gengivite. Sobre esta doença, assinale a alternativa CORRETA.
Provas
O artigo 14 da Lei 8.080/90 trata da criação das Comissões Permanentes de Integração. Sobre esse tema, assinale a alternativa CORRETA.
Provas
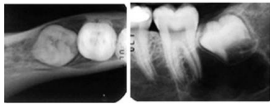
Observe a radiografia a seguir.

Qual das alternativas a seguir descreve o nome da técnica utilizada na imagem de radiografia, para a localização, vestíbulo-lingual de terceiros molares inclusos? É a técnica
Provas
Com a procura por procedimentos clínicos mais rápidos e fáceis, um material restaurador tem adquirido espaço no mercado, a classe dos compósitos Bulk Fill. Assinale a alternativa que apresenta a definição correta desse material restaurador. São resinas
Provas
Leia o texto a seguir sobre odontogênese.
“O desenvolvimento dos dentes ocorre por interação entre _________ e ______________ passando por 5 diferentes fases: botão, capuz, campânula, coroa e raiz. Nas fases de botão e capuz, o evento mais evidente é a proliferação celular, que proporciona o aumento do número de células tato do epitélio (que está invaginando) quanto do ectomesênquima (que se condensa abaixo do epitélio). A partir da fase de campânula inicia a morfogênese e a ______________. Na fase de campânula, o epitélio ____________ adquire o formato do futuro dente e inicia a diferenciação de ameloblastos e odontoblastos. Na fase de coroa, inicia a amelogênese e a dentinogênese (secreção de matriz de esmalte e dentina). E na fase de raiz, ocorre a diferenciação dos cementoblastos (que formarão o cemento), fibroblastos (que formarão o ligamento periodontal) e dos osteoblastos (que formarão o osso alveolar).”
Assinale a alternativa que preenche CORRETA e respectivamente as lacunas.
Provas
O Isolamento Absoluto é uma técnica extremamente eficaz para se realizar o tratamento odontológico, pois evita contato com os fluidos orais, facilita a visão do campo operatório e evita acidentes de ingestão de materiais odontológicos. Assinale a alternativa CORRETA na indicação dos grampos de isolamento. Grampo
Provas
Caderno Container