Foram encontradas 120 questões.
A respeito de biossegurança em odontologia, julgue o item a seguir.
A degermação das mãos com água e sabão líquido é suficiente para eliminar a população microbiana das mãos e interromper a cadeia de transmissão de infecção entre pacientes e profissionais.
A degermação das mãos com água e sabão líquido é suficiente para eliminar a população microbiana das mãos e interromper a cadeia de transmissão de infecção entre pacientes e profissionais.
Provas
Questão presente nas seguintes provas
No que se refere à anatomia, fisiologia e patologia bucal, julgue o item a seguir.
A saliva consiste no produto de secreção das glândulas salivares maiores e menores.
A saliva consiste no produto de secreção das glândulas salivares maiores e menores.
Provas
Questão presente nas seguintes provas
Ainda acerca de biossegurança em odontologia, julgue o item que se segue.
A limpeza mecânica automatizada com jatos de água ou ultrassom de baixa frequência diminui a exposição dos profissionais aos riscos ocupacionais de origem biológica, como o vírus da hepatite e o HIV.
A limpeza mecânica automatizada com jatos de água ou ultrassom de baixa frequência diminui a exposição dos profissionais aos riscos ocupacionais de origem biológica, como o vírus da hepatite e o HIV.
Provas
Questão presente nas seguintes provas
A remoção de cálculo dental representa uma etapa importante para a manutenção da saúde dos tecidos periodontais. Acerca dessa manobra, julgue o item subsequente.
As curetas periodontais devem ser mantidas sempre afiadas, pois a raspagem promovida com instrumentos não afiados, além de não remover completamente o cálculo, provoca o estabelecimento de uma superfície rugosa que acarreta maior retenção de microrganismos.
As curetas periodontais devem ser mantidas sempre afiadas, pois a raspagem promovida com instrumentos não afiados, além de não remover completamente o cálculo, provoca o estabelecimento de uma superfície rugosa que acarreta maior retenção de microrganismos.
Provas
Questão presente nas seguintes provas
Com relação à prevenção da doença periodontal e da cárie, julgue o item subsecutivo.
A morfologia da dentição e o fenótipo gengival não são importantes na determinação do método de escovação.
A morfologia da dentição e o fenótipo gengival não são importantes na determinação do método de escovação.
Provas
Questão presente nas seguintes provas
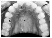
Considerando a imagem apresentada acima, julgue o item subsecutivo.
A letra C indica a gengiva, uma mucosa de revestimento que envolve exclusivamente o colo dos dentes decíduos.
Provas
Questão presente nas seguintes provas
Julgue o item a seguir, a respeito da competência do técnico em saúde bucal no atendimento em odontologia.
Em programas de saúde bucal, sob supervisão de um cirurgião-dentista, o técnico pode atuar como examinador na execução de levantamentos epidemiológicos.
Em programas de saúde bucal, sob supervisão de um cirurgião-dentista, o técnico pode atuar como examinador na execução de levantamentos epidemiológicos.
Provas
Questão presente nas seguintes provas
No que diz respeito à cadeia de transmissão de doenças e à microbiologia bucal, julgue o item que se segue.
Desde que a microbiota residente da cavidade oral esteja em equilíbrio, os microrganismos temporários ou transitórios adquiridos pela ingestão de bebidas e alimentos não se proliferam causando doença.
Desde que a microbiota residente da cavidade oral esteja em equilíbrio, os microrganismos temporários ou transitórios adquiridos pela ingestão de bebidas e alimentos não se proliferam causando doença.
Provas
Questão presente nas seguintes provas
A respeito dos instrumentais odontológicos e seu manuseio, julgue o item subsecutivo.
Após lavagem em água corrente, os moldes obtidos com hidrocoloides irreversíveis sofrem alterações dimensionais se desinfetados com borrifos de soluções de hipoclorito de sódio ou glutaraldeído.
Após lavagem em água corrente, os moldes obtidos com hidrocoloides irreversíveis sofrem alterações dimensionais se desinfetados com borrifos de soluções de hipoclorito de sódio ou glutaraldeído.
Provas
Questão presente nas seguintes provas
- Legislação ProfissionalCódigo de Processo Ético Odontológico
- Legislação ProfissionalCódigo de Ética Odontológica
Com base no Código de Ética Odontológica e no Código de Processo Ético Odontológico, julgue o item a seguir.
O resguardo do segredo profissional consiste tanto em um direito quanto em um dever fundamental dos técnicos e auxiliares em saúde bucal.
O resguardo do segredo profissional consiste tanto em um direito quanto em um dever fundamental dos técnicos e auxiliares em saúde bucal.
Provas
Questão presente nas seguintes provas
Cadernos
Caderno Container