Foram encontradas 240 questões.
Considere o tratamento odontológico de um paciente de 82 anos de idade, portador de Alzheimer em estágio moderado para avançado, já bastante dependente, sob atenção de um cuidador (auxiliar de enfermagem) em ambiente doméstico; com função cognitiva e motora comprometidas, mas comportamento não agressivo, embora impaciente; em polifarmácia para controle da pressão arterial, angina, diabetes e Alzheimer. O paciente apresenta-se dentado, com grande quantidade de biofilme dentário, periodontite estádio 2, grau A generalizada; com recessões gengivais em vários sítios, na arcada superior e na inferior, e bolsas periodontais de 5 mm nos piores sítios, com diversas lesões de cárie dentária de coroa e raiz ativas e algumas cavitadas.
Em relação a esse caso clínico e com base nos conhecimentos correlatos, julgue os itens a seguir.
Pensando em preservar a vida útil dos dentes e sua função, a extração dentária não deve ser considerada ao longo do planejamento global do caso, ainda que de dentes mais comprometidos, devendo-se optar sempre por abordagens mais conservadoras.
Provas
Considere o tratamento odontológico de um paciente de 82 anos de idade, portador de Alzheimer em estágio moderado para avançado, já bastante dependente, sob atenção de um cuidador (auxiliar de enfermagem) em ambiente doméstico; com função cognitiva e motora comprometidas, mas comportamento não agressivo, embora impaciente; em polifarmácia para controle da pressão arterial, angina, diabetes e Alzheimer. O paciente apresenta-se dentado, com grande quantidade de biofilme dentário, periodontite estádio 2, grau A generalizada; com recessões gengivais em vários sítios, na arcada superior e na inferior, e bolsas periodontais de 5 mm nos piores sítios, com diversas lesões de cárie dentária de coroa e raiz ativas e algumas cavitadas.
Em relação a esse caso clínico e com base nos conhecimentos correlatos, julgue os itens a seguir.
O objetivo principal do tratamento odontológico, nesses casos, é preservar a função em uma abordagem orientada pelo ciclo de vida. Nesse paciente, um tratamento restaurador extensivo pode não ser possível ou indicado.
Provas

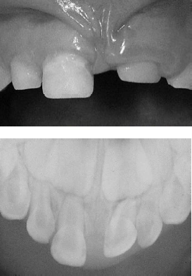
Acervo pessoal.
Com base nas imagens apresentadas e considerando os aspectos clínico e radiográfico de uma criança de 4 anos de idade, 20 dias após luxação intrusiva completa, julgue os itens a seguir.
A imagem radiográfica é altamente sugestiva de deslocamento palatino da raiz do dente 61, o que indica aproximação com o germe do dente 21.
Provas
Uma das fases mais importantes do tratamento odontológico é a primeira consulta. Nela é possível identificar vários fatores que poderão interferir no tratamento proposto e, até mesmo, inviabilizar alguns tratamentos que, em pacientes convencionais, seriam a primeira escolha. A respeito da propedêutica clínica, especificamente no que tange à classificação do paciente em função de seu estado físico, julgue os itens a seguir.
São exemplos de pacientes classificados como ASA III os com hemofilia, os sob quimioterapia, aquelas no último trimestre de gestação ou os com insuficiência cardíaca congestiva e com inchaço nos tornozelos.
Provas
Uma paciente de 23 anos de idade, grávida de 24 semanas de gestação, compareceu ao consultório odontológico com queixa de sensibilidade no dente 17. Nenhuma outra condição de saúde foi constatada na anamnese. Ao exame clínico, observou-se uma cavidade de tamanho pequeno envolvendo a oclusal do dente 17, com escurecimento na face mesial, mas com crista marginal preservada. Ao exame radiográfico, verificou-se lesão cariosa penetrando no quarto pulpar da dentina, com uma zona levemente definida de dentina radiopaca separando a dentina desmineralizada da polpa. Também, durante o exame radiográfico, observou-se que a paciente tinha um leve reflexo de vômito. O teste de vitalidade pulpar foi compatível com pulpite reversível.
Considerando esse caso clínico e os conhecimentos referentes a tratamento de polpa vital, julgue os itens a seguir.
Se, após a exposição pulpar, a hemostasia não for controlada em até cinco minutos, deverá ser feita pulpectomia e posterior tratamento do canal.
Provas
Um paciente de 22 anos de idade compareceu ao consultório odontológico solicitando a exodontia do elemento 16, alegando que não poderia pagar pelo tratamento restaurador. Ao exame clínico, o cirurgião-dentista (CD) notou lesão de cárie profunda, mas a coroa clínica estava bastante preservada. A imagem radiográfica sugeria raízes longas e divergentes, além de maior densidade óssea. No momento do exame físico, verificaram-se FC = 77 bpm, FR = 15 irpm e SatO2 = 99%.
Considerando esse caso clínico e os conhecimentos correlatos, julgue os itens a seguir.
A osteíte alveolar é uma complicação que pode ocorrer após exodontias, notadamente nos dentes mandibulares, e pode ser definida como um retardo na cicatrização, associado a uma infecção. Caracteriza-se, geralmente, pelo surgimento de dor moderada a intensa por volta do terceiro ou quarto dia após a remoção do dente.
Provas
Um paciente de 45 anos de idade compareceu ao ambulatório de cirurgia bucomaxilofacial, encaminhado para ser submetido a biópsia de lesão ulcerada em borda lateral de língua à esquerda, de bordos endurados e sangrantes à manipulação, com tempo de evolução de, aproximadamente, quatro meses. Na anamnese, o paciente relatou que já realizou tratamentos anteriores, mas que a lesão persistia. Declarou-se, ainda, sem comorbidades associadas, além de ser ex-tabagista e ex-etilista há vários anos. No momento do exame físico, constataram-se FC = 68 bpm, FR = 20 irpm e SatO2 = 97%.
Em relação a esse caso clínico e com base nos conhecimentos correlatos, julgue os itens a seguir.
A causa do carcinoma de células escamosas oral é multifatorial. Entre esses fatores, a hereditariedade parece não desempenhar um papel principal na causalidade desses tumores.
Provas
Um paciente de 45 anos de idade compareceu ao ambulatório de cirurgia bucomaxilofacial, encaminhado para ser submetido a biópsia de lesão ulcerada em borda lateral de língua à esquerda, de bordos endurados e sangrantes à manipulação, com tempo de evolução de, aproximadamente, quatro meses. Na anamnese, o paciente relatou que já realizou tratamentos anteriores, mas que a lesão persistia. Declarou-se, ainda, sem comorbidades associadas, além de ser ex-tabagista e ex-etilista há vários anos. No momento do exame físico, constataram-se FC = 68 bpm, FR = 20 irpm e SatO2 = 97%.
Em relação a esse caso clínico e com base nos conhecimentos correlatos, julgue os itens a seguir.
Em virtude da grande variabilidade de comportamento das lesões bucais, o prognóstico, em geral, está mais relacionado com o diagnóstico histopatológico, que indica o comportamento biológico da lesão, do que a qualquer outro fator isolado.
Provas
Uma paciente de 18 anos de idade apresentou-se ao serviço de cirurgia e traumatologia bucomaxilofacial para exodontia dos terceiros molares impactados. Ao exame clínico, a região retromolar inferior mostrava sinais de pericoronarite branda, e a paciente relatava dor discreta. O exame radiográfico panorâmico evidenciou os elementos 38 e 48 em inclusão horizontal e completamente localizados dentro do ramo mandibular, com os planos oclusais abaixo da linha cervical dos elementos 37 e 47. A imagem radiográfica sugeria, ainda, íntimo contato entre os ápices dos terceiros molares e o canal dentário inferior. No momento do exame físico, observaram-se FC = 70 bpm, FR = 17 irpm e SatO2 = 98%.
Tendo em vista esse caso clínico e os conhecimentos correlatos, julgue os itens a seguir.
Caso a paciente apresentasse, no momento da cirurgia, severa limitação na abertura bucal, a técnica de escolha para a anestesia da região poderia ser a de Vazirani-Akinosi com a boca fechada, e o anestésico utilizado poderia ser a prilocaína, ainda que possa ocorrer metemoglobinemia em virtude da natureza química desse anestésico.
Provas
Uma paciente de 18 anos de idade apresentou-se ao serviço de cirurgia e traumatologia bucomaxilofacial para exodontia dos terceiros molares impactados. Ao exame clínico, a região retromolar inferior mostrava sinais de pericoronarite branda, e a paciente relatava dor discreta. O exame radiográfico panorâmico evidenciou os elementos 38 e 48 em inclusão horizontal e completamente localizados dentro do ramo mandibular, com os planos oclusais abaixo da linha cervical dos elementos 37 e 47. A imagem radiográfica sugeria, ainda, íntimo contato entre os ápices dos terceiros molares e o canal dentário inferior. No momento do exame físico, observaram-se FC = 70 bpm, FR = 17 irpm e SatO2 = 98%.
Tendo em vista esse caso clínico e os conhecimentos correlatos, julgue os itens a seguir.
De acordo com Peterson, essa é a impacção de mais difícil solução, mostrando-se como um desafio cirúrgico, mesmo para especialistas.
Provas
Caderno Container