Foram encontradas 1.260 questões.
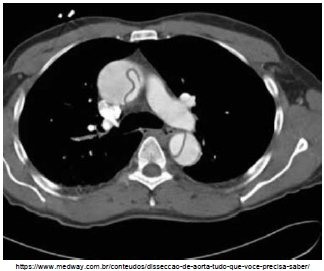
Analise a imagem a seguir.

Essa dissecção apresentada na imagem acima é tipo
Provas
Sobre os estudos ecográficos com Doppler, assinale a opção correta.
Provas
Em relação à ecografia da pancreatite aguda, é correto afirmar que
Provas
A doença de Paget ou osteíte deformante, é a segunda doença óssea metabólica mais frequente do paciente adulto depois da osteoporose. A respeito da doença de Paget, marque a opção correta.
Provas
Marque a opção que apresenta um contraste à base de gadolínio, com configuração molecular linear.
Provas
A radiografia simples tem acurácia baixa no diagnóstico do tromboembolismo pulmonar (TEP) agudo, tendo, na verdade, função importante na exclusão de outras condições clínicas semelhantes.
Marque a opção que apresenta o sinal radiográfico que pode estar presente no TEP agudo.
Provas
Sobre os adenomas hepáticos, marque a opção correta.
Provas
Um paciente com queixas de prurido leve na face após a infusão endovenosa de meio de contraste iodado deve ser tratado com
Provas
Marque a opção que apresenta os meios de contrastes iodados que apresentam maior potencial de eventos adversos em exames tomográficos.
Provas
Nos sistemas de um binário, a principal utilização é para intrusão, geralmente dos incisivos que estão extruídos. Para este propósito, uma força leve contra os dentes a serem intruídos deve ser aplicada, porém é difícil de ser obtida. Um arco de intrusão normalmente emprega ancoragem posterior (molar) contra dois ou quatro incisivos. Como a força intrusiva precisa ser leve, as forças de reação sobre os dentes de ancoragem também são leves, bem abaixo dos níveis de força necessários para extrusão e inclinação, que seriam os movimentos de reação dos dentes de ancoragem. Amarrar o molar junto com um arco lingual rígido previne a inclinação vestibular dos molares. Em adultos, geralmente os pré-molares são acrescentados à unidade de ancoragem.
Com base no texto acima, é correto afirmar que
Provas
Caderno Container