Foram encontradas 60 questões.
Diante da importância do sorriso e da complexidade da avaliação estética, alguns parâmetros, como referências faciais, dento-labiais, gengivais e dentais, são de extrema importância na identificação e no registro de todos os dados necessários para otimizar os resultados de uma reabilitação estético-funcional. Assim, o conhecimento das características inerentes às estruturas a serem restauradas é essencial para o planejamento e a execução dos tratamentos. Na análise dental, as relações e proporções destes elementos determinam um equilíbrio para a percepção estética de um sorriso.
A esse respeito, é correto afirmar que
Provas
O tipo de material que constitui os pinos pré-fabricados influencia diretamente as suas propriedades físicomecânicas.
A respeito dos pinos cerâmicos, confeccionados em zircônia, é incorreto afirmar que
Provas
A combinação entre retentores intrarradiculares de fibra de vidro e núcleos em resina composta ganhou popularidade nos últimos anos devido às suas propriedades mecânicas e estéticas.
Em relação à biomecânica e desempenho dos pinos intrarradiculares, é incorreto afirmar que a/o
Provas
A formulação e o desenvolvimento dos cimentos ionômero de vidro (CIV), por Wilson e Kent (1971), teve por objetivo aliar as boas propriedades de dois cimentos distintos, o cimento de silicato e o cimento de policarboxilato de zinco. Dessa forma, a combinação de um material com partículas de vidro, alumíno e silicato, com uma solução aquosa de ácido poliacrílico, produziu um material odontológico versátil e com excelente durabilidade, quando corretamente manipulado.
Em relação à microestrutura dos cimentos ionômero de vidro, é correto afirmar que a/o
Provas
Para definir as estratégias de controle e tratamento das lesões cervicais não cariosas (LCNCs) e da hipersensibidlade dentinária cervical (HDC), é fundamental a definição prévia dos fatores etiológicos. Dessa forma, o tratamento se concentra na causa dos problemas e não nos seus sintomas.
Em relação à terapia e manejo dessas lesões, é correto afirmar que os
Provas
A saliva é o fluido orgânico presente em toda cavidade oral e fornece a única proteção inerente aos efeitos potencialmente biocorrosivos devido aos desafios ácidos nas estruturas duras dos dentes.
Considera-se como funções protetoras da saliva contra a ação biocorrosiva, seja de agentes de origem endógena ou exógena, exceto a/o
Provas
Sabe-se que as lesões cervicais não cariosas (LCNCs) são multifatoriais e estão intimamente relacionadas com o estilo de vida do paciente. O diagnóstico correto e o estabelecimento de uma conduta que minimize seus efeitos é fundamental para evitar a sua progressão.
Em relação às LCNCs e à hipersensibilidade dentinária cervical (HDC), é incorreto afirmar que
Provas
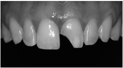
Paciente, JBS, 22 anos, gênero feminino, compareceu à clínica odontológica queixando-se de fratura recente no dente 21 e de sensibilidade às trocas térmicas. Ao exame clínico-radiográfico, constatou-se extensa fratura do ângulo incisal mesial do dente em questão (conforme figura abaixo). Outras alterações também foram encontradas, acometendo os seguintes dentes:
Dente 16 - lesão cariosa cavitada ativa mésio-oclusal, com cerca de 0,4mm de espessura de remanescente dentinário;
Dente 23 - lesão cariosa cavitada ativa disto-palatina de profundidade média;
Dente 24 - lesão cervical não cariosa, com relato de sensibilidade à escovação e ao consumo de alimentos frios;
Dente 37 - lesão cariosa cavitada ativa profunda na superfície oclusal.

Fonte: Arquivo da Banca Elaboradora.
Em relação ao planejamento do caso clínico em questão, é correto afirmar que a/o
Provas
Paciente, JBS, 22 anos, gênero feminino, compareceu à clínica odontológica queixando-se de fratura recente no dente 21 e de sensibilidade às trocas térmicas. Ao exame clínico-radiográfico, constatou-se extensa fratura do ângulo incisal mesial do dente em questão (conforme figura abaixo). Outras alterações também foram encontradas, acometendo os seguintes dentes:
Dente 16 - lesão cariosa cavitada ativa mésio-oclusal, com cerca de 0,4mm de espessura de remanescente dentinário;
Dente 23 - lesão cariosa cavitada ativa disto-palatina de profundidade média;
Dente 24 - lesão cervical não cariosa, com relato de sensibilidade à escovação e ao consumo de alimentos frios;
Dente 37 - lesão cariosa cavitada ativa profunda na superfície oclusal.

Fonte: Arquivo da Banca Elaboradora.
Para o restabelecimento adequado da forma, função e estética do dente 21, o profissional deve estar atento à escolha do material restaurador.
São propriedades que devem ser levadas em consideração para o caso em questão, exceto a
Provas
Apesar da evolução das resinas compostas, tanto em propriedades mecânicas quanto estéticas, o amálgama ocupou por muitas décadas um lugar de destaque na restauração direta de dentes posteriores. Para garantir a longevidade das restaurações em amálgama, o profissional deve estar atento a detalhes relacionados a toda sequência restauradora.
A esse respeito, avalie o que se afirma.
I. O acabamento e o polimento devem ser postergados e realizados, no mínimo, 24 horas após a confecção da restauração.
II. Para garantir a resistência mecânica do remanescente e do material restaurador, o ângulo cavossuperficial do preparo cavitário deve ser reto ou biselado.
III. Para evitar excessos na parede cervical, a matriz de poliéster deve ser devidamente ancorada com cunhas de madeira de tamanho e espessura compatíveis com o dente em questão.
IV. Para cavidades muito profundas, apenas o verniz cavitário é o material de eleição para proteção do complexo dentinopulpar, especialmente se a cavidade for restaurada com uma liga convencional.
V. A retenção do amálgama está relacionada, diretamente, ao preparo cavitário, por isso as paredes circundantes da cavidade terapêutica devem estar convergentes para a oclusal ou paralelas entre si quando a profundidade for igual ou maior que a largura.
Está correto apenas o que se afirma em
Provas
Caderno Container